

Book Appointment
A PROPERLY CRAFTED SMILE CAN IMPROVE EVERY ASPECT OF A PERSON’S LIFE
about us

about us
bio
Dr. Nargiz Schmidt, a distinguished prosthodontist with a wealth of experience in aesthetic dentistry and full mouth reconstruction, holds a profound belief in the interconnectedness of inner peace, confidence, and physical
well-being.
Beyond the creation of exquisite smiles, Dr. Schmidt's practice is rooted in a holistic approach to patient care, emphasizing preventative measures and empowering individuals to make informed choices in their daily routines.
Renowned globally, patients are drawn to Dr. Schmidt's authentic and direct communication style, as she endeavors to inspire each individual to embrace self-care and cherish their unique smiles with a personalized touch.
VIEW ALL
merits
Driven by a relentless pursuit of excellence and a dedication to providing unparalleled care, Dr. Nargiz Schmidt undertook advanced training in prosthodontics, establishing herself as a leading expert in reconstructive
dentistry.
Her specialized expertise in full mouth reconstructions and implant dentistry has garnered widespread acclaim for delivering exceptional outcomes. Founder of multiple dental practices, Dr. Schmidt now directs her focus to
Manhattan Aesthetic Dentistry, a multispecialty practice with prominent locations in Midtown and the Upper West Side.
Beyond her clinical endeavors, Dr. Schmidt is esteemed as a distinguished lecturer and seminar leader in Aesthetic Dentistry, Full Mouth Reconstruction, and All on X procedures, earning international recognition as a keynote
speaker in the realm of aesthetic dentistry. Her innovative techniques and wealth of knowledge have reshaped industry standards, solidifying her reputation as an authority in the field.
A published author of "Fearless Smile: Overcoming Dental Phobia," Dr. Schmidt's unwavering commitment to supporting patients in conquering their dental fears further cements her standing as a compassionate and trusted dental
care provider.
VIEW ALL
art
Beyond her professional pursuits, Dr. Schmidt's artistic talents as a classically trained pianist and painter reflect her multifaceted creativity and ability to connect with patients on a profound level. She is a devoted opera
and art lover who actively supports the arts community.
As a sponsor of the Metropolitan Opera and the Metropolitan Museum of Art, she demonstrates her commitment to fostering cultural enrichment and artistic expression.
This passion for the arts enriches her perspective and underscores her ability to connect with patients on a profound level, creating a welcoming and holistic approach to dental care that transcends conventional boundaries.
VIEW ALL
Dr. Schmidt's mission is to provide exceptional dental care using innovative technologies and minimally invasive methods whenever possible. She creates a friendly and supportive atmosphere, prioritizing your individual needs and
desires to bring you a lasting smile.
Beyond her professional pursuits, Dr. Schmidt's artistic talents as a classically trained pianist and painter reflect her multifaceted creativity and ability to connect with patients on a profound level. She is a devoted opera and
art lover who actively supports the arts community.
As a sponsor of the Metropolitan Opera and the Metropolitan Museum of Art, she demonstrates her commitment to fostering cultural enrichment and artistic expression.
This passion for the arts enriches her perspective and underscores her ability to connect with patients on a profound level, creating a welcoming and holistic approach to dental care that transcends conventional boundaries.
process
The goal is not just to enhance your smile but to transform your overall appearance and boost your confidence
As the consultation progresses, you will be presented with a range of treatment options that are tailored to achieve amazing results.
Each procedure will be explained in detail, giving you a clear understanding of the process, expected outcomes, and potential benefits.
By the end of the consultation, you will leave with a sense of excitement and anticipation for the journey ahead, knowing that you are in the hands of a team that is committed to delivering exceptional and life-changing
results

atmospheric conditions
At our high-end dental aesthetics office, the consultation process is designed to exceed expectations and deliver an unparalleled experience.
From the moment you step through the doors, you are greeted with a warm and inviting atmosphere that sets the tone for heartfelt discussions. The focus is not just on your dental needs but also on understanding your fears,
expectations, and desires.
Every consultation is treated as a unique opportunity to connect on a personal level, fostering a sense of trust and comfort between you and the dental team.
VIEW ALL
current help
During the consultation, Dr. Schmidt and her team will guide you through a comprehensive analysis of your dental aesthetics.
Utilizing state-of-the-art technology and techniques, they will examine your facial structure and discuss your desired outcomes. The emphasis is on collaboration and open communication, ensuring that you feel heard and valued
throughout the process.
Whether it's addressing concerns about your smile or exploring options for enhancing your facial features, the team is dedicated to providing personalized recommendations tailored to your individual needs.
VIEW ALL
services
non invasive and minimally invasive porcelain veneers
Dr. Schmidt's reputation as a world-renowned specialist in non-invasive and minimally invasive porcelain veneers precedes her, with a pioneering approach that has revolutionized the field of cosmetic dentistry.
Her expertise has been instrumental in transforming hundreds of smiles, with over 15,000 porcelain veneers placed to date, all without compromising sensitive tooth structure. Dr. Schmidt's philosophy is rooted in the belief
that preserving the maximum amount of healthy tooth structure is paramount, ensuring that her patients' experience is not only positive but also comfortable.
One of the hallmarks of Dr. Schmidt's approach to porcelain veneers is the emphasis on non-invasiveness, which minimizes the need for extensive tooth preparation.
This innovative technique allows for the enhancement of smiles without the removal of significant tooth structure, preserving the natural integrity of the teeth. Patients can expect a seamless and painless process, with some
cases not even requiring the administration of local anesthetic due to the gentle and minimally invasive nature of the procedure.
The result is a transformative experience that combines artistry and science to create stunning and natural-looking smiles.
Dr. Schmidt's meticulous attention to detail and commitment to excellence ensure that each porcelain veneer is custom-crafted to enhance the unique features of the individual's smile. Patients can confidently embrace their new
smile knowing that they have received the highest standard of care and expertise from a leader in the field of non-invasive porcelain veneers.
no more dentures of any kind – all on x procedure
All-on-X restorations on dental implants offer significant advantages for patients with serious dental issues and edentulous conditions.
This innovative treatment concept allows for the replacement of an entire arch of teeth using just four to six strategically placed dental implants.
By maximizing the available bone support and angulating the implants for optimal stability, All-on-4 restorations provide a secure and efficient solution for patients with compromised dental health.
The streamlined treatment process reduces the need for additional surgical procedures and accelerates the restoration timeline, allowing patients to enjoy a fully functional and aesthetically pleasing smile in a shorter period of time. Additionally, the fixed nature of All-on-4 restorations eliminates the hassle and discomfort of removable dentures, providing a permanent and comfortable solution.
Dr. Schmidt collaborates with a team of highly skilled surgeons who specialize in implant placement, ensuring that even the most challenging cases can be successfully addressed with All-on-4 restorations.
By working closely with these experts, Dr. Schmidt can offer patients with serious dental issues and edentulous conditions a comprehensive and tailored treatment plan that meets their individual needs. The combination of Dr. Schmidt's expertise in prosthodontics and her team of experienced surgeons ensures that patients receive the highest standard of care and precision throughout the implant placement process.
This collaborative approach not only enhances the success rate of All-on-4 restorations but also provides patients with confidence and peace of mind knowing that they are in capable hands.
dental implants and implant restorations
Dental implants are a revolutionary solution for replacing missing teeth, providing a durable and natural-looking alternative to traditional dentures or bridges.
These titanium posts are surgically placed into the jawbone, where they fuse with the bone to create a strong foundation for artificial teeth.
Once the implants have integrated with the jawbone, custom-made implant restorations, such as crowns, bridges, or dentures, are attached to complete the restoration.
Implant restorations are meticulously crafted to match the shape, size, and color of the natural teeth, resulting in a seamless and long-lasting solution that restores both function and aesthetics to the smile.
dental anxiety and phobia
At Dr. Schmidt's dental office, a compassionate and empathetic approach is taken to cater to patients with dental anxiety and phobia. With a longstanding commitment to helping individuals navigate their fears, the office environment is designed to be a safe and welcoming space where patients can feel understood and supported. There is no judgment here, only a genuine desire to alleviate anxiety and provide a sense of comfort and control.
Dr. Schmidt's personalized approach to addressing dental anxiety involves understanding the root causes of fear and tailoring her methods to each individual's needs. By fostering open communication and a trusting relationship, she empowers patients to voice their concerns and preferences, creating a sense of partnership in their dental care. Through gentle and patient-centered techniques, Dr. Schmidt ensures that every aspect of the dental experience is tailored to promote a sense of calm and relaxation, allowing patients to receive the care they need without the burden of anxiety.
In certain cases, Dr. Schmidt's dental office offers the option of IV sedation for patients undergoing dental procedures. This advanced form of sedation provides a deeper level of relaxation and comfort, ensuring a stress-free and worry-free experience for individuals with heightened anxiety or phobia. Under the care of a skilled anesthesia provider, patients can rest assured that they will be closely monitored throughout the procedure, allowing them to receive the necessary dental care in a calm and comfortable state.
IV sedation not only helps alleviate anxiety and fear but also enables Dr. Schmidt to perform complex dental treatments with precision and efficiency. By creating a relaxed and tranquil environment, patients can undergo procedures that may have once seemed daunting or overwhelming. The use of IV sedation at Dr. Schmidt's office exemplifies her dedication to providing comprehensive and compassionate care, ensuring that every patient's needs and comfort are prioritized throughout their dental journey.
smile makeovers
Full mouth reconstruction may involve a combination of restorative procedures, such as crowns, bridges, dental implants, and veneers, to address various dental issues and achieve optimal oral function and beauty.
As a prosthodontist, Dr. Schmidt excels in the art and science of full mouth reconstruction, utilizing advanced techniques and state-of-the-art materials to deliver exceptional results.
Through meticulous planning and attention to detail, she restores harmony and balance to the entire mouth, creating a smile that is both functional and aesthetically pleasing.
Patients can trust in Dr. Schmidt's expertise and dedication to excellence, knowing that their full mouth reconstruction is in the hands of a skilled professional committed to enhancing their overall oral health and quality of life.
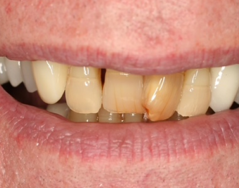
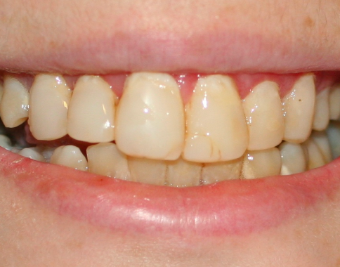
smile gallery






it’s as important to me to focus on function as it is to craft beautiful smiles










it’s as important to me to focus on function as it is to craft beautiful smiles







press
first step to overcoming fears & finding a healthy smile